
皆さん、「空耳」の経験はありますか?
空耳とは、本来「実際にない音や声が聞こえたように思うこと」なんですが、最近では、相手の名前など、聞き間違いを表す言葉としても使われています。日常生活の中でも、よく電話などで聞き間違われることは多いですが、実は相手の表情によっても聞き間違いが起こるのだとか。
そこで今回は、そんな空耳にまつわる謎と不思議を徹底調査!
①相手の聞き間違いを防ぐ方法とは?
②耳だけじゃない!聞き間違いの原因
③空耳英語・空耳日本語は通じるのか?
①相手の聞き間違いを防ぐ方法とは?
聞き間違いがよく起こるのが電話。
では、そもそも聞き間違いはどのようにして起こるのかを実験。
まずは、ショッピングモールに来ている人達に携帯電話を渡し、電話の先で、オーソドックスな名字である「佐藤」「鈴木」に加え、「實重(さねしげ)」「丸藤(がんどう)」「宮司(みやし)」「金枝(かねえだ)」など珍しい名字の人達4人が雑音の多い環境でそれぞれの名前を言い、正確に名前が伝わるのか検証。
すると・・・ 日本に多い名字の人では正確に伝わったのに対し、珍しい名字では正確に聞けたのはたったの1人しかいなかったのです!
この原因を専門家に伺うと「聞きなれない名前などを聞いた時には、知っている名前の方に誤って聞き間違いをしてしまうことが起こりやすい」のだとか。
では、どうやったら聞き間違いは防げるのか?
その方法を専門家に伺うと「いつも聞いてる言葉とは違うんだという意識を相手に持ってもらうようにイントネーションを変えて、良く聞こうと相手に思わせることも有効」なのだそうです。
そのお手本となるのが、デパートの館内放送。お客さんにきちんと情報を伝えるため、独特のイントネーションでゆっくりと話しているといいます。
そこで、珍しい名字を持つ人達に、今度は館内放送を真似た話し方で自分の名前を伝えてもらったところ・・・結果、4人全員、正解者が増えたのです。
ゆっくりと、あえて変なイントネーションで話すことで、聞き間違いが減ったんです!
②耳だけじゃない!聞き間違いの原因
でも、実は聞き間違いは、耳だけが原因じゃない事もあるようなんです。
その実態を探るべく、アウトレットモールに来ている人達を対象に、「カーテンが開き、目の前に現れた笑顔の男性が何と言ったか?」を当ててもらう実験を行ったところ・・・正解は「オリゴ糖」なんですが、なんと10人中8人が「ありがとう」と聞き間違えました!
さらに、今度は表情をかなり険しくし、言葉を「ワカメ」に変えて再度検証してみたところ・・・結果10人中4人が「バカめ」と聞き間違いを起こしてしまったんです。
一体なぜこのようなことが起こるのか、専門家に伺うと「相手の表情によって、この人はこんなことを言うんじゃないかという風に構えを作って聞くので、怒った顔で言われたら怒ったような言葉を聞いてしまう。それに聞き間違えてしまう」とコメント。
実際、怒った顔で「ワカメ」と言われると、表情に影響され「馬鹿め」と聞こえやすいですが、無表情では視覚に左右されないのでワカメと聞こえます。
つまり、表情も聞き間違いの原因の1つだったんです。
③空耳英語・空耳日本語は通じるのか?
「What time is it now?=ほったいもいじるな」
聞いたことがある人もいると思いますが、実はこれ、英語を日本語に置き換えた、ぞくに「空耳英語」と呼ばれる言葉。
では、空耳英語は実際に外国人に通じるのか?
外国人観光客の多い浅草で欧米の人達に、「ほったいもいじるな」と話しかけ、きちんと時間を教えてくれるのか試してみると・・・なんと、空耳英語は誰ひとりとして通じませんでした。
ならば、今度は逆に、日本人にアメリカ人が話しかけてみます。その言葉は・・・ 「cool mountain she tells」。
これは「車運転してる?」という日本語を無理矢理英語にしたものですが、実際に通じるのか試してみると・・・なんと、10人中5人が日本語として聞いたのです!
続いて試したのはこの言葉・・・「correct color door through」。
「これからどうする?」を無理矢理英語にしたものですが、なんと結果は、10人中4人が日本語に聞こえたのです。
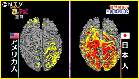
一体なぜ空耳日本語が通じるのか、専門家に伺うと「日本人と欧米人とでは、音の聞き方に違いがあるという研究があります。そのことが関係しているのでは」とコメント。
そこで実験!日本人とアメリカ人に脳波計を装着してもらい、脳の働きを観察。彼らには、今まで一度も聞いたことのない、珍しい「ワニの鳴き声」を聞いてもらいます。
すると、アメリカ人の脳には目立った反応はありませんでしたが、日本人に聴かせると、脳の一部が反応。これは「頭頂連合野」という、過去の記憶と照らし合わせイメージを作る部分。
実は専門家によると、日本人は昔から、聞き慣れない音や言葉を聞くと、想像力を働かせ、理解しようとする傾向があるのだそうです。
なるほど日本人の脳というのは、外国人にはないとっても面白い性質があるようです。

|
|