'Japan's most dangerous slide' to reopen
A long and steep playground slide called "Japan's most dangerous" is to reopen.
read more
Olympians reject proposed venue changes
Japanese Olympians are upset over proposed changes to venues for the 2020 Tokyo games.
read more
Interior of quake-hit Kumamoto Castle opens to media
The interior of Kumamoto Castle opens to media for the first time since earthquakes damaged the landmark in April.
read more
Japan's Machu Picchu fascinates tourists
The sea of clouds-covered Takeda Castle ruins fascinate tourists in western Japan.
read more
Toyota recalls 340k new Prius cars worldwide
Toyota Motor is recalling 340k new Prius cars worldwide over a possible parking brake problem.
read more
Tokyo blackout affects 590k households
A sudden blackout affects 590k households in Tokyo, disrupting traffic and trapping people in elevators.
read more
Koike meets Kumamon
Kumamon, the mascot of quake-hit Kumamoto, visits Tokyo Governor Yuriko Koike.
read more
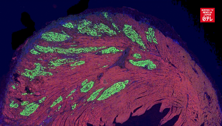
Stem cells heal damaged monkey heart
Scientists at Shinshu University use iPS stem cells to heal a monkey's damaged heart in a pioneering study on new treatm...
read more



